
En el Día Mundial de la Salud Universal, especialistas remarcan que la cobertura solo es efectiva si las personas pueden comprender y acceder a la información de salud.

Este tipo de linfoma afecta a cerca de 450 argentinos por año y suele diagnosticarse en etapas avanzadas debido a síntomas confusos. La detección temprana es clave.
Salud21/07/2025
SOFIA ZANOTTI

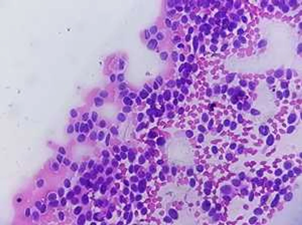
El linfoma de células del manto, un desafío para el diagnóstico oncológico en Argentina
El linfoma de células del manto es un cáncer hematológico poco frecuente, pero de gran agresividad, que afecta a unas 450 personas por año en Argentina. Surge a partir de una alteración genética en las células B del sistema linfático y suele aparecer en varones mayores de 60 años.
Según la Asociación Civil Linfomas Argentina (ACLA), la enfermedad representa el 5% de los casos de linfoma y tiene la particularidad de presentar síntomas que suelen confundirse con cuadros digestivos, infecciosos u otras enfermedades comunes, lo que retrasa su diagnóstico. Estos signos incluyen pérdida de peso, fiebre, sudores nocturnos, molestias abdominales, náuseas, distensión, fatiga, y agrandamiento de ganglios, hígado o bazo.
“La clave es no subestimar cambios persistentes en el cuerpo. Aunque es un cáncer poco frecuente, su conocimiento puede marcar la diferencia”, señaló Haydée González, presidenta de ACLA y paciente diagnosticada.
Para confirmar el diagnóstico, se requieren estudios específicos indicados por especialistas. En cuanto al tratamiento, los avances recientes incluyen el uso de terapias dirigidas por vía oral, con buenos resultados en cuanto a respuesta y control de la enfermedad, aunque todavía existen riesgos de recaídas.
“La equidad en el acceso al diagnóstico, a profesionales capacitados y a tratamientos innovadores debe ser una prioridad”, concluyó la Dra. M. Silvana Cugliari, jefa de Hematología del Instituto Roffo.

En el Día Mundial de la Salud Universal, especialistas remarcan que la cobertura solo es efectiva si las personas pueden comprender y acceder a la información de salud.

El Boletín Epidemiológico Nacional confirmó un aumento significativo de casos de hantavirus en el país, con 23 contagios registrados entre julio y fines de octubre de 2025 y una letalidad del 39%, un porcentaje que preocupa a las autoridades sanitarias.

Investigaciones recientes muestran que consumir mango fresco mejora la saciedad, favorece un peso saludable y ayuda a regular el azúcar en sangre.

Un niño de Entre Ríos estuvo 48 horas en Casilda antes de presentar síntomas. Salud provincial investiga contactos y refuerza la vigilancia epidemiológica.

Un estudio nacional reveló que el 31% de los adultos tiene valores altos de Lp(a), un marcador hereditario que incrementa el riesgo cardiovascular. Especialistas recomiendan medirla al menos una vez en la vida.

Cada 1° de diciembre el mundo renueva el compromiso frente al VIH/Sida, una enfermedad que aún afecta a millones de personas y requiere prevención, información y acceso a la salud.



Tras su salida de Independiente Rivadavia, el colombiano despierta interés en dos potencias del Brasileirao, que prepararían propuestas económicas para contratarlo.

Racing y Estudiantes vuelven a definir un título en Santiago del Estero, una sede que trae malos recuerdos para la Academia y muy buenos antecedentes para el Pincha.

Boca debutará ante Deportivo Riestra y River visitará a Barracas Central en la primera fecha del campeonato, que comenzará a fines de enero.

Cuando todo indicaba continuidad, el club anunció la rescisión de común acuerdo. Diferencias con la dirigencia y el balance deportivo aceleraron el final del ciclo.

Tres listas competirán este sábado por la conducción del Tomba, tras la ruptura entre sus máximos dirigentes históricos y un año marcado por el descenso.

El presidente de Vélez expresó su apoyo a la conducción de Chiqui Tapia, cuestionó el impulso a las SAD y pidió bajar la tensión sobre los jueces del fútbol argentino.

La escultura supera los 20 metros de altura y será inaugurada en Calcuta en el inicio de la gira del astro argentino por el país asiático.

La Justicia investiga una lujosa quinta en Pilar, autos de alta gama y vínculos con la financiera Sur Finanzas. El expediente pasó al fuero penal económico.

