
En el Día Mundial de la Salud Universal, especialistas remarcan que la cobertura solo es efectiva si las personas pueden comprender y acceder a la información de salud.

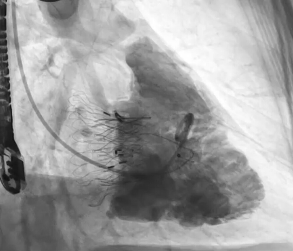
Un equipo del ICBA Instituto Cardiovascular aplicó por primera vez en el país una técnica mínimamente invasiva para reemplazar la válvula tricúspide, marcando un hito en Latinoamérica.
Salud27/06/2025
SOFIA ZANOTTI

El 6 de junio de 2025, un equipo multidisciplinario del ICBA Instituto Cardiovascular realizó en Argentina la primera intervención de reemplazo valvular tricuspídeo con la técnica LuX-Valve, un procedimiento mínimamente invasivo que representa una alternativa revolucionaria para tratar la insuficiencia tricuspídea severa, una afección subdiagnosticada que afecta especialmente a adultos mayores.
La intervención se llevó a cabo en un paciente con un cuadro complejo, que además padecía un síndrome carcinoide, y fue liderada por los cardiólogos intervencionistas Santiago Ordoñez (MN 148339) y Pablo Spaletra (MN 129332), junto a un equipo de especialistas en imágenes, anestesistas, técnicos y enfermeros. Se trató de la primera vez que este implante, desarrollado en China en 2018 y ya implementado en Europa y Canadá, se utiliza en Sudamérica.
La insuficiencia tricuspídea severa ocurre cuando la válvula ubicada entre la aurícula y el ventrículo derechos del corazón no cierra adecuadamente, provocando un reflujo de sangre que deteriora la función cardíaca y genera síntomas como fatiga, edemas, dificultad respiratoria y arritmias. Hasta ahora, las opciones eran limitadas y de alto riesgo para pacientes frágiles: desde tratamiento con diuréticos hasta cirugías a corazón abierto.
El nuevo procedimiento evita abrir el tórax y detener el corazón, ya que se realiza a través de una pequeña incisión en el cuello. La válvula dañada es reemplazada por un stent valvular que permite mejorar el flujo sanguíneo y aliviar los síntomas. La recuperación es significativamente más rápida y segura, con internaciones promedio de tres a cinco días.
Según Ordoñez, esta técnica brinda por primera vez “una alternativa real y segura para pacientes que antes no eran candidatos a cirugía”. Se estima que entre el 1% y el 2% de los adultos mayores, sobre todo mujeres, pueden padecer esta afección sin saberlo. La intervención posiciona a la Argentina como referente en el uso de esta innovación médica en Latinoamérica.

En el Día Mundial de la Salud Universal, especialistas remarcan que la cobertura solo es efectiva si las personas pueden comprender y acceder a la información de salud.

El Boletín Epidemiológico Nacional confirmó un aumento significativo de casos de hantavirus en el país, con 23 contagios registrados entre julio y fines de octubre de 2025 y una letalidad del 39%, un porcentaje que preocupa a las autoridades sanitarias.

Investigaciones recientes muestran que consumir mango fresco mejora la saciedad, favorece un peso saludable y ayuda a regular el azúcar en sangre.

Un niño de Entre Ríos estuvo 48 horas en Casilda antes de presentar síntomas. Salud provincial investiga contactos y refuerza la vigilancia epidemiológica.

Un estudio nacional reveló que el 31% de los adultos tiene valores altos de Lp(a), un marcador hereditario que incrementa el riesgo cardiovascular. Especialistas recomiendan medirla al menos una vez en la vida.

Cada 1° de diciembre el mundo renueva el compromiso frente al VIH/Sida, una enfermedad que aún afecta a millones de personas y requiere prevención, información y acceso a la salud.



El DT logró levantar a un equipo golpeado y obtener resultados, pero falló en los momentos decisivos del Clausura y quedó bajo la lupa tras la eliminación ante Racing.

Racing y Estudiantes vuelven a definir un título en Santiago del Estero, una sede que trae malos recuerdos para la Academia y muy buenos antecedentes para el Pincha.

Boca debutará ante Deportivo Riestra y River visitará a Barracas Central en la primera fecha del campeonato, que comenzará a fines de enero.

El presidente de Vélez expresó su apoyo a la conducción de Chiqui Tapia, cuestionó el impulso a las SAD y pidió bajar la tensión sobre los jueces del fútbol argentino.

La escultura supera los 20 metros de altura y será inaugurada en Calcuta en el inicio de la gira del astro argentino por el país asiático.

La cantante fue la imagen de la colección Wanda Swim 2025/2026 y despejó versiones de un conflicto entre ambas.

El Honorable Concejo Municipal de Teodelina realizó el jueves 11 de diciembre su primera sesión ordinaria del período legislativo 2025–2029, dando inicio formal a la actividad parlamentaria del nuevo cuerpo deliberativo de la ciudad

La Justicia investiga una lujosa quinta en Pilar, autos de alta gama y vínculos con la financiera Sur Finanzas. El expediente pasó al fuero penal económico.

